Gum Grafting – Salt Lake City, UT

Reversing Gum Recession to Protect Your Smile

Woman smiling after receiving gum graft in Salt Lake City, UT

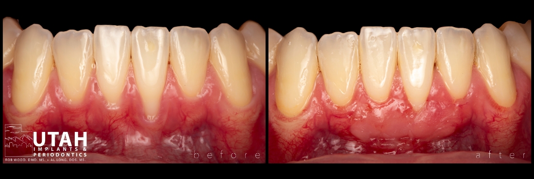
If gum disease is left untreated for too long, your gum tissue might start to pull away from your teeth, making them look longer than normal. This is called gum recession, and it can increase your risk of tooth decay and infection; it can also eventually lead to tooth loss. Fortunately, Dr. Wood or Dr. Long can reverse gum recession with a type of periodontal surgery called gum grafting. To see if this procedure is right for you, give our office a call today.

Why Choose Utah Implants & Periodontics for Gum Grafting?

  • Team Led by 2 Expert Periodontists
  • Known for High-Quality Customer Service
  • Various Dental Insurance Plans Welcome

Why Do You Need a Gum Graft?

Man showing signs of gum recession before gum graft in Salt Lake City, UT

The gums normally protect the roots of your teeth from bacteria attacks. If they start to recede, they’ll leave the roots exposed, which can significantly increase your risk of cavities. Furthermore, gum recession causes pockets to form between your teeth and gum tissue. Bacteria can build up in these pockets, leading to serious infections.

Since the gums won’t heal on their own, a gum graft is your only option for reversing gum recession. The procedure involves taking tissue from elsewhere in your mouth and attaching it to the areas where the recession has occurred, allowing us to cover up the tooth roots and correct any pockets. This is an important step for protecting your long-term oral health after gum disease.

The Gum Graft Procedure

Illustration of procedure for gum graft in Salt Lake City, UT

Your mouth will be numbed to keep you comfortable during your procedure. Then one of three types of grafts will be performed based on your needs:

  • Connective Tissue Graft: A flap is made in the roof of your mouth. Then a small piece of tissue is removed and stitched to the area where recession has occurred. This is the most common type of gum graft.
  • Free Gingival Graft: Instead of making a flap, the needed gum tissue is taken directly from the roof of your mouth. We may recommend this procedure if you have particularly thin gums.
  • Pedicle Graft: We can create a flap of gum tissue near the area where the recession has occurred; said flap is used to cover the exposed parts of your tooth. This can be an excellent option for patients who still have plenty of healthy gum tissue around the treatment area.

Gum Graft Post-Op Care

Woman resting at home after gum graft in Salt Lake City, UT

While your mouth is recovering from a gum graft, you shouldn’t brush or floss around the treatment area until your periodontist tells you that it’s safe to do so. It’s recommended that you rinse with an antimicrobial mouthwash for at least a couple of weeks to minimize the risk of infection while your mouth is recovering. Plan on eating soft foods while your mouth is still healing; scrambled eggs, cottage cheese, yogurt, and cooked vegetables can all be good options.