Before and After Smile Gallery – Salt Lake City, UT
Before and After Gallery

Free Gingival Grafts
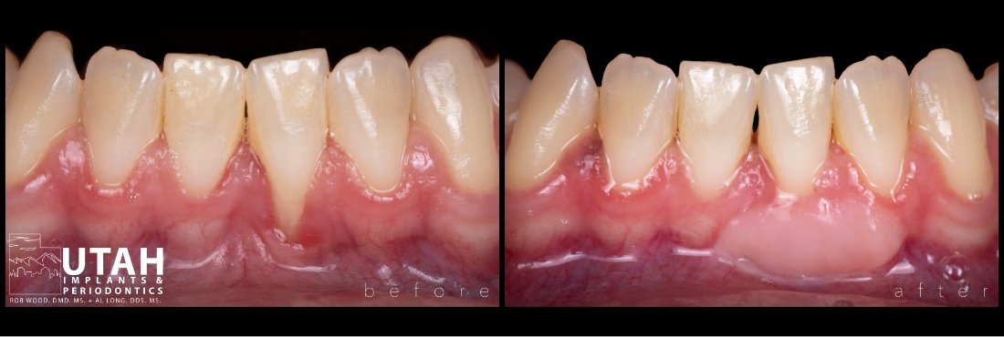
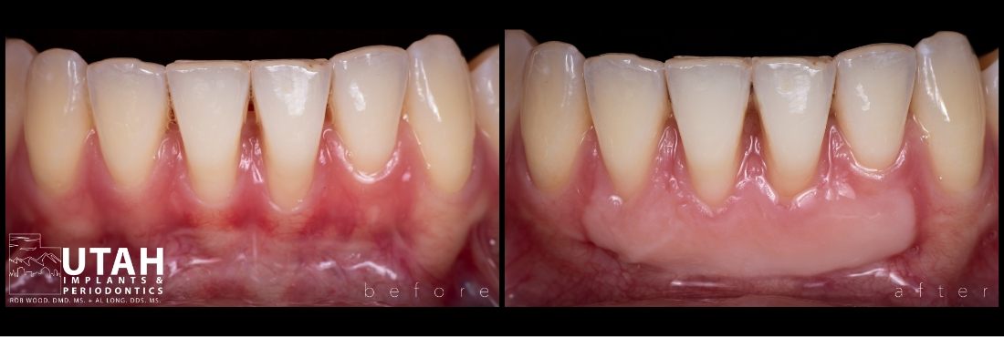
Case 1
Free Gingival Graft completed by Dr. Long. Patient presents with progressive recession and very thin gum tissue of the lower front teeth. Final result is the establishment of a thick band of gum tissue to prevent further recession and provide long-term stability to these teeth.
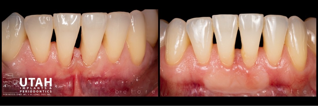
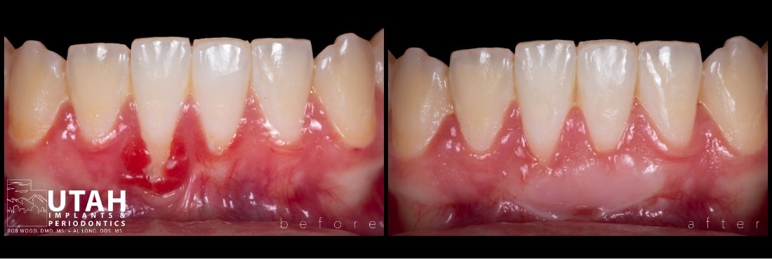
Case 2
Free Gingival Graft completed by Dr. Long. Patient presents with complaints of sensitivity and inflammation of the gums as well as progressive recession. Final result is coverage over the previously exposed roots and a wide band of gum tissue, providing a solid foundation for cleaning and health.
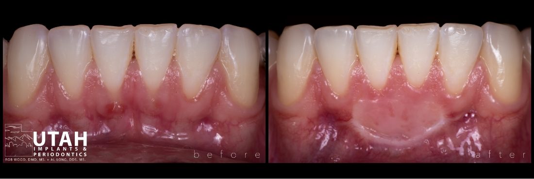
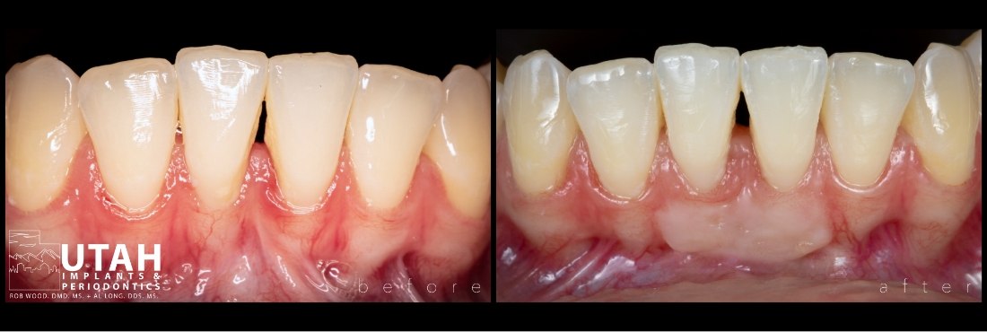
Case 3
Free Gingival Graft completed by Dr. Long. Patient presents with concerns of recession of the lower front teeth. A frenectomy was performed (removal of soft tissue tag connected to the lower lip) in addition to the gum graft. Patient now has a thick band of gum tissue and elimination of pull from the lower lip, creating a protective and cleansable environment for long-term health of the area.
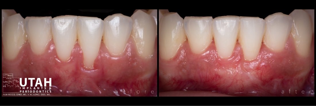
Case 4
Free Gingival Graft completed by Dr. Long. Patient presents with chronic inflammation and progressive recession of a lower front tooth. A thick and protective band of healthy gum tissue is established for stability and elimination of inflammation.
Case 5
Free Gingival Graft completed by Dr. Long. Patient presents with very thin, inflammed, and sensitive gums of the lower front teeth. Patient complains of recession getting worse and inability to keep clean. Final result is the establishment of a thick band of gum tissue to prevent further recession and provide long-term stability to these teeth.
Case 6
Free Gingival Graft completed by Dr. Long. Patient presents with concerns of thinning gums of the lower front teeth. Grafting provides a thick band of health gum tissue that is protective against future recession and can withstand forces from normal function and brushing.
Case 7
Free Gingival Graft completed by Dr. Long. Patient presents with progressive gum recession of a lower front tooth over the last few years. Successful grafting covers recession and provides a thick band of protective gum tissue for long-term stability.
Case 8
Free Gingival Graft completed by Dr. Long. Patient presents with root sensitivity and concerns of gingival recession. Final result is coverage over the previously exposed roots and a wide band of gum tissue, providing a solid foundation for cleaning and health.
Connective Tissue Grafting
Case 1
Connective Tissue Graft completed by Dr. Long. Patient presents with root exposure of several upper front teeth and esthetic concerns from recession. A thick and protective band of gum tissue is established over the previously exposed roots and complete root coverage achieved for enhanced esthetics.
Case 2
Connective Tissue Graft completed by Dr. Long. Patient presents with chronic inflammation of the gums around a lower front tooth and cold sensitivity. Complete root coverage achieved, resulting in resolution of sensitivity and a wide band of gum cleansable gum tissue for long-term protection of the area.
Case 3
Connective Tissue Graft completed by Dr. Long. Patient presents with concerns of progressive recession and root sensitivity of two upper right teeth. Coverage over the exposed roots and a wide band of protective gum tissue underneath resolves concerns and provides a stable base for long-term health.
Case 4
Connective Tissue Graft completed by Dr. Long. Patient presents with heavy plaque and tartar build up of the lower front teeth with significant gum recession. Professional cleaning and gum grafting around these teeth create a stable protective environment, preventing long-term issues and concerns for the patient.
Case 5
Connective Tissue Graft completed by Dr. Long. Patient presents with esthetic concern and complaints of a challenging area to keep clean around a lower front tooth. Gum grafting performed to cover the exposed root and establish a thick band of underlying gum tissue.
Case 6
Connective Tissue Graft completed by Dr. Long. Patient presents with concerns of thinning gum tissue and progressive recession of the lower front teeth. Final result is improved coverage over the exposed root surfaces and a protective band of healthy gum tissue for long term protection.
Case 7
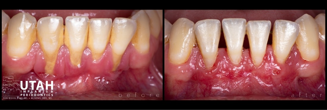
Connective Tissue Graft completed by Dr. Long. Patient presents with generalized gum recession and cold sensitivity, primarily from years of aggressive brushing. This case was completed using a donor tissue graft. Long-term result demonstrates significant root coverage, enhanced esthetics and complete reversal of sensitivity. Very happy patient!
Case 8
Connective Tissue Graft completed by Dr. Long. Patient presents with long-standing recession of a lower canine tooth. Root coverage achieved, resulting in resolution of esthetic concern, root protection and a wide band of gum cleansable gum tissue.